对很多人来说
2025年11月30日是一个普通的日子
而对于绍兴的徐先生(化名)来说
这一天简直堪称是“新生”
“自从体检发现肝巨大肿瘤后
担惊受怕了半月
在家门口的绍兴市人民医院肝胆胰外科
获得了根治性手术切除
我的生活又充满了阳光!”
“惊险刺激”的就医故事
怎么回事儿???
原来,徐先生今年53岁,是家中的顶梁柱,平时身强力壮,但半月前体检时不幸被确诊为肝癌,肿瘤巨大,12×8cm左右,位于右肝,靠近膈顶部,手术难度极大、风险较大,徐先生一家陷入巨大的不安之中。
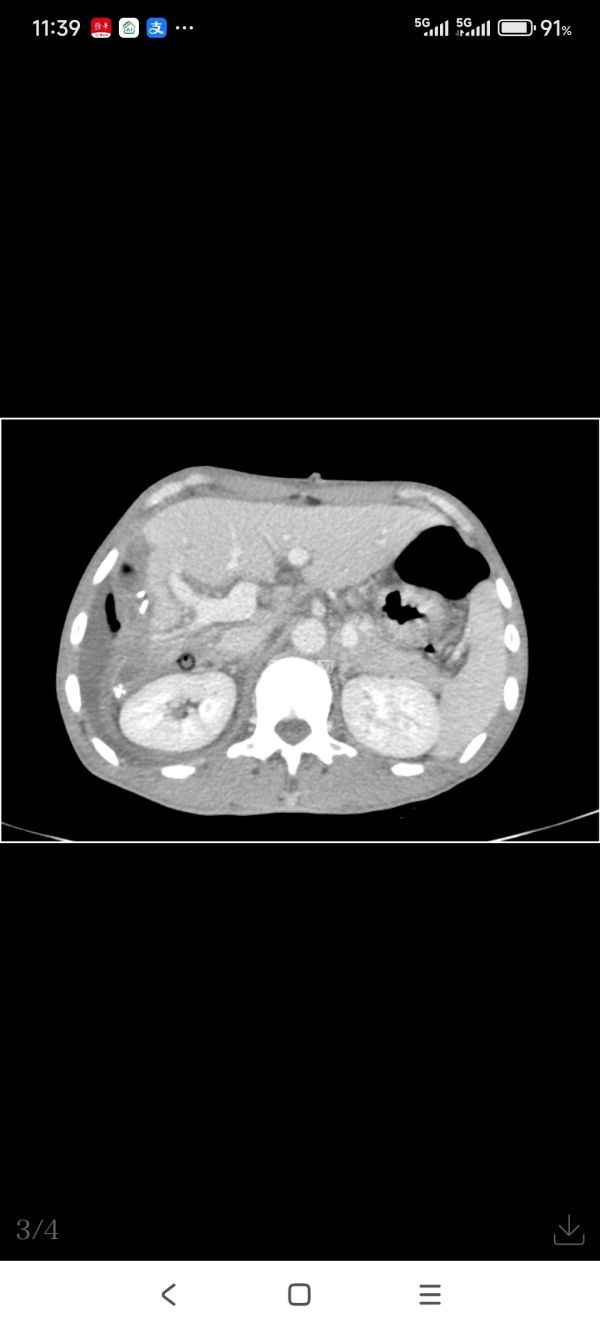
仔细查看
徐先生的CT和MRI检查结果
不难发现
肿瘤的大小确实令人倒吸一口冷气
怎么办???
通过绍兴市人民医院推送的相关新闻报道,徐先生了解到肝胆胰外科专注研究肝巨大肿瘤及复杂肝癌的手术根治及综合治疗。本着对医院的信任,他们一家人立即来到绍兴市人民医院肝胆胰外科的肝癌诊治中心专家门诊就诊,并顺利入院。
入院后,医生利用智能肝脏分析系统重建了肝脏3D图像,清晰地显示了肝脏巨大肿瘤的立体图像,评估了肝肿瘤与周围血管的关系及剩余肝体积、测量了肝脏的储备功能,并且完善了相关术前检查,确定肝脏肿瘤可安全切除。
随后,肝胆胰外科联合介入科、肿瘤内科、放射科、放疗科、麻醉科、ICU和临床营养科等,经多学科讨论(MDT),认为手术是第一选择方案,建议手术治疗,并且为徐先生制定了详细的手术治疗方案。
在术前精准评估的基础上,依托肝胆胰外科团队精湛的手术能力,结合术中超声、CUSA等先进工具,最后,肿瘤被完整切除,术中少量出血(50ml左右),结合加速康复理念、多模式镇痛,目前徐先生术后恢复良好,术后无并发症,可以正常进食、自由活动,出院的日子也指日可待。
无独有偶,72岁的邬先生也被诊断左肝巨块型肝癌,12×10cm左右,也在绍兴市人民医院肝胆胰外科实施了精准肝癌切除术,术后一周顺利出院。
如果你感到好奇
也可以尝试看一下图
巨巨巨巨大的肿瘤标本
看了肿瘤标本
不得不说
这场手术
确实“肝”得漂亮啊!
http://m.shaoxing.com.cn/p/3394140.html




只能呵呵,那么大的肿瘤,先不做介入,指标都还不正常的情况下,直接手术。那么大的巨块型肝癌,不通过介入,控制范围,直接切,肝功能损伤多严重。太急于求成了
回 第1楼(无法无天来一个)的帖子 无法无天来一个:只能呵呵,那么大的肿瘤,先不做介入,指标都还不正常的情况下,直接手术。那么大的巨块型肝癌,不通过介入,控制范围,直接切,肝功能损伤多严重。太急于求成了 (2025-12-06 16:14)
你是医生?
回 第2楼(tl290919)的帖子 tl290919:你是医生? (2025-12-06 16:15)
跟是不是医生有关系么?从发现巨块型肝癌到切除手术15天。这期间没有做介入,控制肿瘤的生长,切除的时候,肿瘤细胞还都是活跃的。甲胎蛋白,异常凝血酶这种指标都在升高,而且这种指标压根就不会在15天内恢复到正常值。那么大的巨块一下子切除,对肝伤害很大。
回 2楼(tl290919) 的帖子 tl290919:你是医生?(2025-12-06 16:15)
不但是医生,大概率是内部人士。
回 第1楼(无法无天来一个)的帖子 无法无天来一个:只能呵呵,那么大的肿瘤,先不做介入,指标都还不正常的情况下,直接手术。那么大的巨块型肝癌,不通过介入,控制范围,直接切,肝功能损伤多严重。太急于求成了 (2025-12-06 16:14)
介入治疗是不是先输入放射介质?
回 第5楼(光线)的帖子 光线:介入治疗是不是先输入放射介质? (2025-12-06 19:00)
介入是通过导管直达病灶的一种治疗,先控制住其生长。
绍兴市人民医院激动人心的专家号

真话难听,现在年轻人的日子真的得靠啃老
小辈结婚可怜天下父母心
现在体制内不结婚的真多

新国标电动车被吐槽,问题出在哪儿?

遛狗不牵绳的现象越来越多了

浴场都是男性,还是男人会享受啊

前有理想,后有小米,素质低的都买了同种车,也是神奇

柯桥总图书馆不肯开热空调。
绍兴手工年糕唤醒冬日烟火气

男生第一辆汽车该买什么车

巨无霸绍兴苏宁广场对你有没有吸引力

确认了!绍兴这里对全国游客免费!

安昌的这个回复挺好的,但还可以替商家说二句

本该是有作为的年龄

不少网友被“自动”扣钱了,绍兴人快查查你的支付宝

看到邻居最近买大桶饮用水喝了

国标,新国标,新新国标,接下去还有啥?

滨海新区斗门街道7万方大型综合体开工!2028年竣工

大学毕业被告知欠下百万债务,绍兴姑娘坚持10年终还清



收到打赏0.5元




