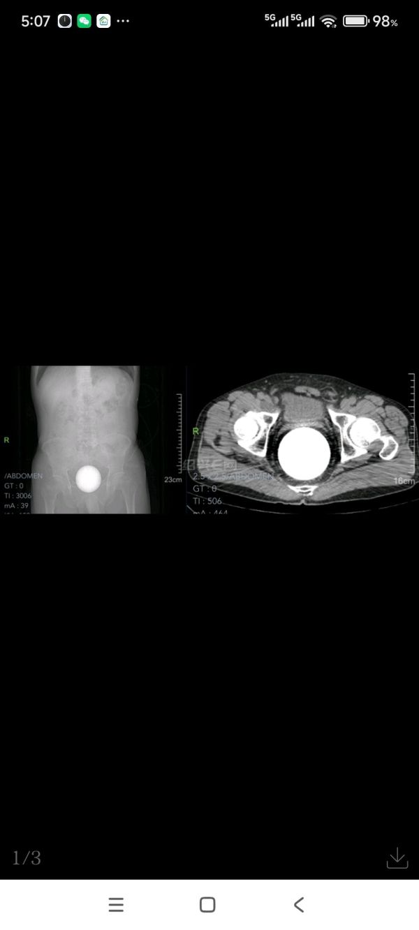
近日,浙江省人民医院越城院区急诊科迎来了一位特殊患者,其遭遇堪称“惊心动魄”——一枚直径9-10厘米的水晶球意外卡入直肠,导致患者肠腔堵塞、肛门会阴胀痛、大小便失禁。在辗转当地几家医院就诊后,患者为求无创技术取出体内水晶球遂来浙江省人民医院越城院区,面对这一棘手且危急的情况,该院迅速启动急诊绿色通道,展开了一场生命与时间赛跑的紧急救援。
事发突然,患者痛苦不堪且腹胀等肠梗阻症状逐渐显现,每一秒都关乎着生命的安危。浙江省人民医院肛肠外科柴瑞主任团队立即响应急诊召唤,以最快的速度将患者送入手术室。此时,玻璃球已深深嵌入直肠壶腹部,周围组织脆弱敏感,稍有不慎便可能引发更大继发性损伤。如何用最微创的手术方式把无处着力的巨大水晶球完整从体内取出考验着在场的所有医务工作者,团队中柴瑞主任及万子昂副主任迎难而上,他们凭借丰富的临床经验和精湛外科微创手术技能,手术台上反复小心翼翼探查异物情况及不断地校准手术方案。
经过紧张而有序的麻醉及手术,这颗“定时炸弹”终于被“带有钢丝套圈性质的取物带”非直视下经肛成功套进并顺利取出,整个手术过程高效顺畅,从接诊到异物取出,仅用了1小时,患者避免了被开肠破肚,整个水晶球取出的那一刻手术室内所有医生、护士和麻醉师发出阵阵欢呼声,大家一致认为只要不开肠破肚该手术就堪称绝对完美。术后患者恢复良好,48小时内康复出院,对医护人员的专业技能与救治速度赞不绝口。同时该患者本次就诊流程也充分展现了该院急诊绿色通道的高效与实力。
直肠虽叫直肠,但它并不直,它有2个弯曲(骶曲、会阴曲)。加之肛门括约肌受到刺激后会收缩、关闭,使得进入肛门的异物进易出难。如果异物停留时间过久则会造成更严重的并发症,诸如肠梗阻、肠坏死及肠穿孔等症,所以一旦有异物进入需马上就医。
http://m.shaoxing.com.cn/p/3371378.html

厉害呀

现在的人真是吃太饱了,什么都往里塞

玩的挺花

这么大一个水晶球是怎么进去的。

这也是人才

浙江省人民医院大湖头分院有点东西啊

玩花样,什么样的事都有,只有你想不到,没有人玩不了





怎么进去的啊?

到底是什么样的意外会导致球进去,说一下让各位基友可以避雷。

这样使病人避免了一场开膛破肚的痛苦




这么大,怎么放进去的。

怎么进去的?

意外的太意外了

现在年轻人玩的这么大,这么花吗

玩过头了

中国人现在这么逆天了吗

回 第19楼(e81199v)的帖子 e81199v:中国人现在这么逆天了吗 (2025-09-30 10:33)
不要说中国人,我也是中国人,我可不敢这么玩的。

回 4楼(rifnfuk) 的帖子 rifnfuk:这么大一个水晶球是怎么进去的。(2025-09-30 09:27)


太会玩了

现在的年轻人,太会玩

嘴巴里是放不进去的,难道.....

和灯泡塞嘴巴一个道理,塞进去容易,取出来难。
只能说GAY是真会玩,而且东西是越玩越大。

不敢想象,这么大的球

回 第3楼(tel365111)的帖子 tel365111:玩的挺花 (2025-09-30 09:26)
我也想说这四个字



厉害厉害的医生

回 第17楼(孙氏家族)的帖子 孙氏家族:现在年轻人玩的这么大,这么花吗 (2025-09-30 10:19)
未必是年轻人

这下好了,以后肛瘘了。

回 第30楼(tel131011)的帖子 tel131011:未必是年轻人 (2025-09-30 12:31)
大概率不是年轻人 盲猜老头子

是攻放的,还是受自己放的?

9--11公分,厉害,怎么放得进去的?



拳头已经无法满足这些人了

回 25楼(alimama) 的帖子 alimama:和灯泡塞嘴巴一个道理,塞进去容易,取出来难。
只能说GAY是真会玩,而且东西是越玩越大。(2025-09-30 11:31)
是这样的,我也听到过把灯泡塞进阴道后取不出来了只能求医,后来成事后悄悄说的笑话了。

塞个黄瓜就够饱满了,这是不过瘾?

能取出榴莲、冬瓜才叫本事



回 21楼(7208) 的帖子 7208:洗完澡还没穿衣服,浴室里不小心滑了一下,正好小孩子玩过的水晶球在地上,就那么直接塞进去了,这么解释你信不信(2025-09-30 11:05)
有理有据,令人信服

回 21楼(7208) 的帖子 7208:洗完澡还没穿衣服,浴室里不小心滑了一下,正好小孩子玩过的水晶球在地上,就那么直接塞进去了,这么解释你信不信(2025-09-30 11:05)


闲着没事做



回 第31楼(jiupiniu2012)的帖子 jiupiniu2012:大概率不是年轻人 盲猜老头子 (2025-09-30 13:53)
哈哈哈,你猜对了




好的

这样的大头天话,大家信吗?9 一10 厘米,也就是有直径10 公分的球,怎么咽下去的,嘴巴口有怎么大吗?一开始还没咽下早就没命了,这种吹牛吹到天上去了,说得太神了.文

这个患者不要命的举动也太神了,还有这个医院的医生也是太神了,你们说大家会信吗?一个乒乓球大小都咽不下的,还9 一10 公分?真的是在放屁,不是人在说话!

tl3648115:这个患者不要命的举动也太神了,还有这个医院的医生也是太神了,你们说大家会信吗?一个乒乓球大小都咽不下的,还9 一10 公分?真的是在放屁,不是人在说话! (2025-10-01 07:00)
现如今,像你这样单纯的人不多了

回 第47楼(tl3648115)的帖子 tl3648115:这样的大头天话,大家信吗?9 一10 厘米,也就是有直径10 公分的球,怎么咽下去的,嘴巴口有怎么大吗?一开始还没咽下早就没命了,这种吹牛吹到天上去了,说得太神了.文 (2025-10-01 06:57)
小孩那桌去

回 第47楼(tl3648115)的帖子 tl3648115:这样的大头天话,大家信吗?9 一10 厘米,也就是有直径10 公分的球,怎么咽下去的,嘴巴口有怎么大吗?一开始还没咽下早就没命了,这种吹牛吹到天上去了,说得太神了.文 (2025-10-01 06:57)
会不会是个假新闻呢 大聪明

回 第48楼(tl3648115)的帖子 tl3648115:这个患者不要命的举动也太神了,还有这个医院的医生也是太神了,你们说大家会信吗?一个乒乓球大小都咽不下的,还9 一10 公分?真的是在放屁,不是人在说话! (2025-10-01 07:00)
你是真不懂还是假不懂?
我结婚我爸妈要把我姐赶出家门
一夜回到解放前!12年前第一份工作月薪3K,如今还是3K!

结婚到底是正确的还是把自己推向深渊

绍兴网友评评理,到底是谁错了?

关于借读的问题请教育局好好管管
二婚还应不应该给彩礼
老师这样的教育方式对不对?
柯桥区农村能做好,越城区反而做不好?

年纪大了是不是都希望孩子多一点

绍兴式孝顺
鸡头好还是凤尾好?是生源好还是学校好?

左转车道第1辆车不进待转区,怎么办?

房价跌就是在财富重新分配。
这种狗屎公司
这么夸张,借读都交易到2029年了,提前4年啊,这是预交费用,4年后过户吗

是继续参加灵活就业人员医保好呢?还是参加城乡居民医保好呢?
请把视频公布出来

装修找远亲还是找外人

惊心!巨大水晶球卡直肠,绍兴医生妙手巧取出

812路公交拒载
